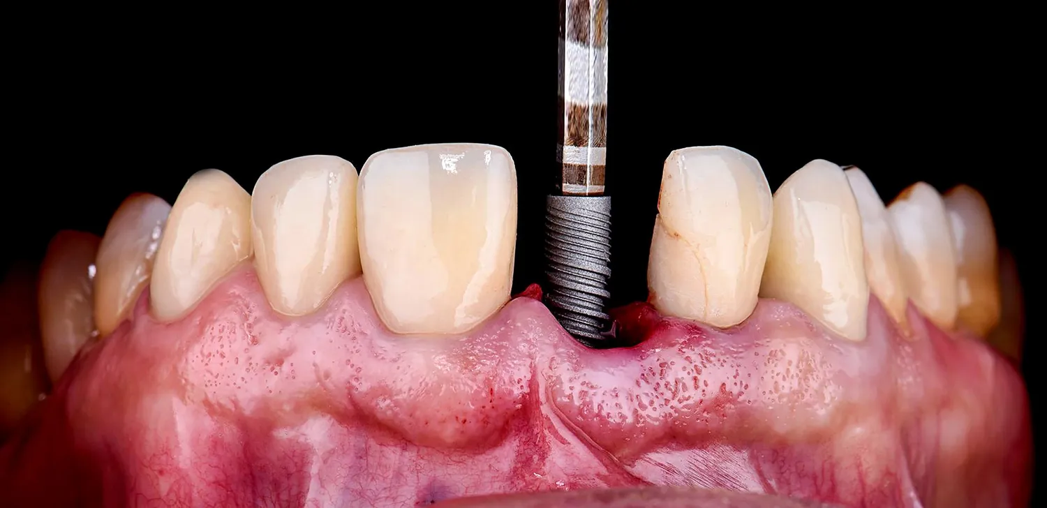
Implanty zębowe to sztuczne korzenie zębów, które są wszczepiane w kość szczęki w celu zastąpienia brakujących zębów. Składają się one zazwyczaj z tytanu, materiału biokompatybilnego, który dobrze integruje się z kością. Proces wszczepienia implantu rozpoczyna się od dokładnej oceny stanu zdrowia pacjenta oraz analizy struktury kości. Lekarz stomatolog wykonuje zdjęcia rentgenowskie, aby określić, czy pacjent ma wystarczającą ilość kości do przeprowadzenia zabiegu. Po podjęciu decyzji o wszczepieniu implantu, chirurg wykonuje niewielkie nacięcie w dziąśle, a następnie umieszcza implant w kości. W ciągu kilku miesięcy implant łączy się z kością w procesie zwanym osteointegracją. Po zakończeniu tego etapu na implant zakłada się koronę protetyczną, która przywraca funkcję i estetykę brakującego zęba.
Jakie są zalety i wady implantów zębowych?
Decyzja o wszczepieniu implantów zębowych wiąże się zarówno z korzyściami, jak i pewnymi ryzykami. Do głównych zalet należy ich naturalny wygląd oraz funkcjonalność. Implanty zachowują się jak prawdziwe zęby, co pozwala na normalne jedzenie i mówienie. Dodatkowo nie wpływają na sąsiednie zęby, co jest istotne w porównaniu do mostków czy protez. Kolejną zaletą jest ich trwałość; przy odpowiedniej pielęgnacji mogą służyć przez wiele lat bez konieczności wymiany. Z drugiej strony istnieją również pewne wady związane z tym rozwiązaniem. Proces wszczepienia implantu może być kosztowny i czasochłonny, a nie każdy pacjent kwalifikuje się do tego zabiegu ze względu na stan zdrowia lub ilość dostępnej kości. Ponadto, jak każdy zabieg chirurgiczny, niesie ze sobą ryzyko powikłań, takich jak infekcje czy problemy z gojeniem.
Jak przebiega proces zakupu i wszczepienia implantów?

Proces zakupu i wszczepienia implantów zębowych zaczyna się od konsultacji ze stomatologiem lub chirurgiem stomatologicznym. Na pierwszej wizycie lekarz przeprowadza szczegółowy wywiad medyczny oraz ocenia stan jamy ustnej pacjenta. W zależności od wyników badań może być konieczne wykonanie zdjęć rentgenowskich lub tomografii komputerowej, aby dokładnie ocenić strukturę kości szczęki. Jeśli pacjent kwalifikuje się do zabiegu, lekarz przedstawia plan leczenia oraz koszty związane z procedurą. Następnie umawia się na dzień zabiegu, który zazwyczaj odbywa się w warunkach ambulatoryjnych. W dniu wszczepienia implantu pacjent otrzymuje znieczulenie miejscowe lub ogólne, a następnie chirurg wykonuje nacięcie w dziąśle i umieszcza implant w kości. Po zakończeniu zabiegu pacjent otrzymuje zalecenia dotyczące pielęgnacji jamy ustnej oraz diety na czas rekonwalescencji.
Czy implanty zębowe są odpowiednie dla każdego pacjenta?
Implanty zębowe nie są rozwiązaniem odpowiednim dla każdego pacjenta i przed ich wszczepieniem konieczna jest szczegółowa ocena stanu zdrowia oraz struktury kości szczęki. Osoby cierpiące na choroby przyzębia, cukrzycę czy inne schorzenia mogą mieć ograniczone możliwości kwalifikacji do zabiegu. Ważnym czynnikiem jest także wiek pacjenta; młodsze osoby mogą potrzebować dłuższego czasu na wzrost kości, co może wpłynąć na decyzję o wszczepieniu implantu. Ponadto palenie tytoniu oraz niewłaściwa higiena jamy ustnej mogą zwiększać ryzyko powikłań pooperacyjnych i wpływać na długoterminowy sukces implantu. Dlatego przed podjęciem decyzji warto skonsultować się ze specjalistą oraz omówić wszystkie możliwe opcje leczenia.
Jakie są koszty związane z implantami zębowymi?
Koszty związane z implantami zębowymi mogą się znacznie różnić w zależności od wielu czynników, takich jak lokalizacja gabinetu, doświadczenie lekarza oraz rodzaj zastosowanych materiałów. W Polsce ceny za jeden implant mogą wynosić od kilku do kilkunastu tysięcy złotych, a całkowity koszt leczenia może obejmować nie tylko sam implant, ale także dodatkowe procedury, takie jak przeszczepy kostne czy koronki protetyczne. Warto również pamiętać, że cena może obejmować konsultacje, badania diagnostyczne oraz wizyty kontrolne po zabiegu. Wiele klinik oferuje różne opcje finansowania, co może ułatwić pacjentom pokrycie kosztów leczenia. Przed podjęciem decyzji warto przeprowadzić dokładne porównanie ofert różnych gabinetów oraz zapytać o dostępne promocje czy pakiety usług. Należy również zwrócić uwagę na jakość materiałów używanych do produkcji implantów oraz doświadczenie zespołu medycznego, ponieważ te czynniki mają kluczowe znaczenie dla długoterminowego sukcesu leczenia.
Jak dbać o implanty zębowe po ich wszczepieniu?
Prawidłowa pielęgnacja implantów zębowych jest kluczowa dla ich długowieczności i zdrowia jamy ustnej. Po wszczepieniu implantu pacjent powinien stosować się do zaleceń lekarza dotyczących higieny jamy ustnej oraz regularnych wizyt kontrolnych. Zaleca się codzienne szczotkowanie zębów co najmniej dwa razy dziennie oraz używanie nici dentystycznej lub irygatora do oczyszczania przestrzeni międzyzębowych. Ważne jest również unikanie twardych pokarmów, które mogą uszkodzić koronę protetyczną. Pacjenci powinni regularnie odwiedzać stomatologa w celu monitorowania stanu implantu oraz przeprowadzania profesjonalnego czyszczenia. W przypadku wystąpienia jakichkolwiek niepokojących objawów, takich jak ból, obrzęk czy krwawienie dziąseł, należy niezwłocznie skontaktować się z lekarzem. Dbanie o zdrową dietę bogatą w witaminy i minerały wspiera proces gojenia i integracji implantu z kością.
Jakie są alternatywy dla implantów zębowych?
Choć implanty zębowe są popularnym rozwiązaniem w przypadku brakujących zębów, istnieją również inne opcje leczenia, które mogą być odpowiednie dla różnych pacjentów. Jedną z najczęściej wybieranych alternatyw są mosty protetyczne, które opierają się na sąsiednich zębach i zastępują brakujący ząb. Mosty są mniej inwazyjne niż implanty i mogą być wykonane szybciej, jednak wymagają oszlifowania zdrowych zębów sąsiadujących. Inną opcją są protezy ruchome, które można łatwo zdjąć i założyć, ale mogą być mniej komfortowe i stabilne niż implanty czy mosty. Protezy częściowe są stosowane w przypadku braku jednego lub kilku zębów, natomiast protezy całkowite stosuje się w przypadku utraty wszystkich zębów w łuku. Warto również wspomnieć o nowoczesnych technologiach, takich jak nakładki na implanty czy systemy ortodontyczne, które mogą pomóc w poprawie estetyki uśmiechu bez konieczności wszczepiania implantów.
Jakie są najnowsze technologie w dziedzinie implantologii?
Implantologia to dziedzina stomatologii, która dynamicznie się rozwija dzięki postępom technologicznym. Nowoczesne technologie pozwalają na bardziej precyzyjne planowanie zabiegów oraz zwiększenie ich efektywności. Jednym z najważniejszych osiągnięć jest zastosowanie tomografii komputerowej 3D, która umożliwia dokładną analizę struktury kości przed wszczepieniem implantu. Dzięki temu lekarze mogą lepiej ocenić warunki anatomiczne pacjenta i dostosować plan leczenia do indywidualnych potrzeb. Kolejnym innowacyjnym rozwiązaniem jest wykorzystanie cyfrowego projektowania uśmiechu (CAD/CAM), które pozwala na tworzenie precyzyjnych modeli koron protetycznych oraz mostów bezpośrednio w gabinecie stomatologicznym. Technologia ta skraca czas oczekiwania na wykonanie prac protetycznych oraz zwiększa ich dokładność. Również materiały stosowane do produkcji implantów stale się rozwijają; obecnie dostępne są implanty wykonane z zaawansowanych stopów tytanu oraz ceramiki, które charakteryzują się jeszcze lepszą biokompatybilnością i estetyką.
Jak przygotować się do zabiegu wszczepienia implantu?
Przygotowanie do zabiegu wszczepienia implantu jest kluczowym etapem procesu leczenia i wymaga staranności ze strony pacjenta. Na początku warto przeprowadzić szczegółową konsultację ze stomatologiem, który oceni stan zdrowia jamy ustnej oraz zaproponuje odpowiedni plan leczenia. Przed zabiegiem pacjent powinien zadbać o higienę jamy ustnej oraz ewentualnie wykonać niezbędne zabiegi stomatologiczne, takie jak leczenie próchnicy czy usunięcie kamienia nazębnego. Dobrze jest także unikać palenia tytoniu na kilka tygodni przed zabiegiem, ponieważ nikotyna może negatywnie wpływać na proces gojenia i integracji implantu z kością. W dniu zabiegu warto przybyć do gabinetu w wygodnym ubraniu i zadbać o to, aby mieć kogoś bliskiego, kto będzie mógł odebrać pacjenta po zabiegu, zwłaszcza jeśli zastosowane zostanie znieczulenie ogólne lub sedacja.
Jak długo trwa proces gojenia po wszczepieniu implantu?
Proces gojenia po wszczepieniu implantu jest kluczowym etapem całej procedury i może trwać od kilku tygodni do kilku miesięcy w zależności od indywidualnych warunków pacjenta oraz rodzaju zastosowanego implantu. Po wszczepieniu implantu następuje proces osteointegracji, podczas którego tkanka kostna łączy się ze sztucznym korzeniem zęba. Zazwyczaj trwa to od trzech do sześciu miesięcy; jednak u niektórych pacjentów może to potrwać dłużej lub krócej w zależności od jakości kości oraz ogólnego stanu zdrowia organizmu. W trakcie tego okresu ważne jest przestrzeganie zaleceń lekarza dotyczących diety oraz pielęgnacji jamy ustnej; pacjenci powinni unikać twardych pokarmów oraz nadmiernego obciążania implantu. Regularne wizyty kontrolne u stomatologa pozwalają na monitorowanie procesu gojenia i ewentualne wprowadzenie korekt w planie leczenia.





